impathlab@gmail.com
0915235577
Về IMPathLAB
Giới thiệu
Tổ chức
Chuyên gia
Cơ sở hạ tầng Lab
Labo tế bào học
Labo mô bệnh học
Labo hóa mô miễn dịch
Lưu trữ mẫu
Liên hệ
Lĩnh vực hoạt động
Dịch vụ xét nghiệm giải phẫu bệnh
Xét nghiệm tế bào
Xét nghiệm phiến đồ Pap kinh điển và Pap mỏng
Xét nghiệm mô bệnh học
Xét nghiệm khối tế bào
Xét nghiệm sinh thiết tức thì
Xét nghiệm sinh học phân tử và miễn dịch
Xét nghiệm lai tại chỗ
Xét nghiệm hóa mô miễn dịch
Hội chẩn xét nghiệm giải phẫu bệnh
Hội chẩn giải phẫu bệnh trong nước
Hội chẩn giải phẫu bệnh quốc tế
Xét nghiệm cho các nghiên cứu
Thư viện
Kiến thức giải phẫu bệnh
Chuyên đề tế bào học
Chuyên đề bệnh học hệ tạo máu
Chuyên đề bệnh học mô mềm xương khớp
Chuyên đề bệnh học da
Chuyên đề bệnh học tai mũi họng
Chuyên đề bệnh học tuyến giáp
Chuyên đề bệnh học tuyến vú
Chuyên đề bệnh học thần kinh trung ương
Chuyên đề bệnh học mắt
Chuyên đề bệnh học khoang miệng
Chuyên đề bệnh học trung thất
Chuyên đề bệnh học phế quản-phổi và màng phổi
Bảng phân loại quốc tế
Ca lâm sàng
Tin tức
Hợp tác
Hợp tác trong nước
Hợp tác quốc tế
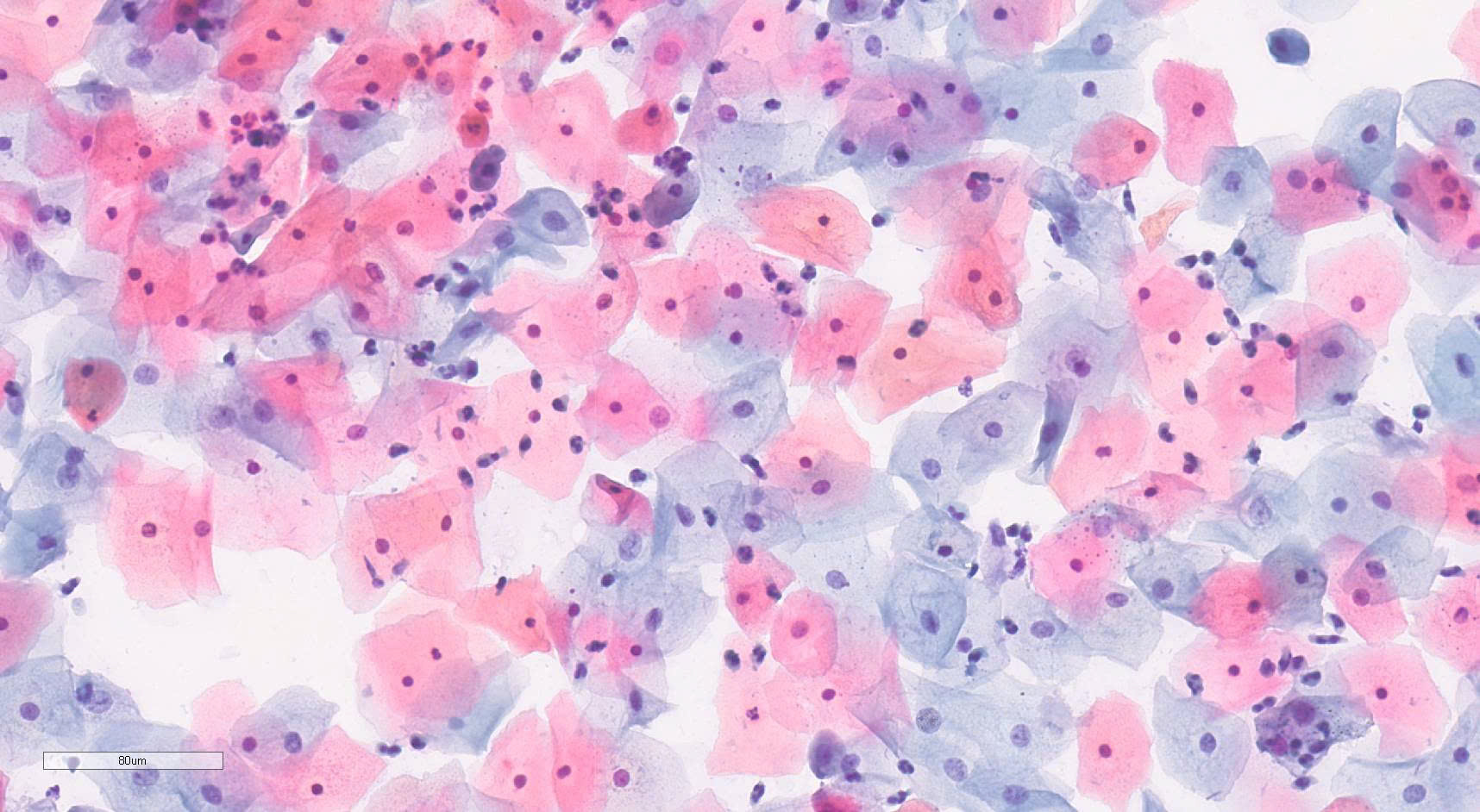
Xét nghiệm tế bào
October 04, 2024 - BY Admin
Xét nghiệm tế bào
Share
Tweet
Linkedin
Categories
Chuyên đề bệnh học u phần mềm
Về IMPathLAB
Xét nghiệm cho các nghiên cứu
Dịch vụ xét nghiệm giải phẫu bệnh
Kiến thức chuyên đề về u vú
Chuyên đề tế bào học
Lĩnh vực hoạt động
Hội chẩn xét nghiệm giải phẫu bệnh
Hợp tác
Tin tức
Cơ sở hạ tầng Lab
Archives
July 2026
SUBSCRIBE
SUBSCRIBE FOR NEWSLETTER