By Admin | 8 October, 2024
U tuyến vú là khối u lành tính bao gồm các tế bào bào mô và đệm thưa thớt, kh...
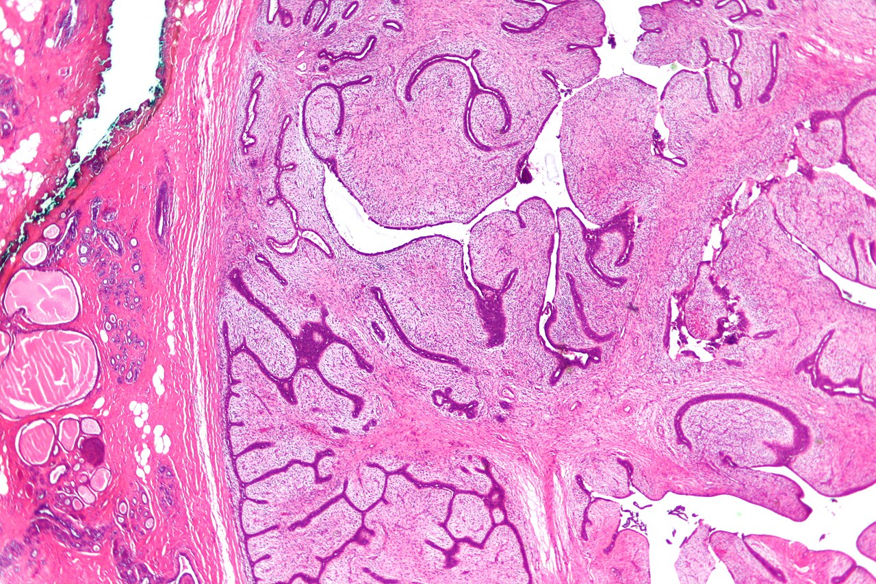
Read MoreBy Admin | 22 September, 2024
U nhú ở vú là một nhóm u không đồng nhất được đặc trưng bởi cốt lõi đư...
Read MoreBy Admin | 22 September, 2024
Tổn thương biểu mô-cơ biểu mô của vú (còn được gọi là tổn thương tuyến ...
Read MoreBy Admin | 22 September, 2024
Quá sản ống không điển hình (ADH) và ung thư biểu mô ống tại chỗ (DCIS) là nh...
Read MoreBy Admin | 22 September, 2024
Quá sản ống thông thường (UDH) là một sự tăng sinh biểu mô lành tính không đ...
Read MoreBy Admin | 8 October, 2024
U phyllodes là một loại khối u xơ biểu mô hai pha hiếm gặp hình thành từ các t...
Read More